Le autopsie mostrano il virus COVID-19 nel cervello, in altre parti del corpo / Autopsies show COVID-19 virus in brain, elsewhere in body

 Le autopsie mostrano il virus COVID-19 nel cervello, in altre parti del corpoAutopsies show COVID-19 virus in brain, elsewhere in body


Segnalato dal Dott. Giuseppe Cotellessa / Reported by Dr. Giuseppe Cotellessa


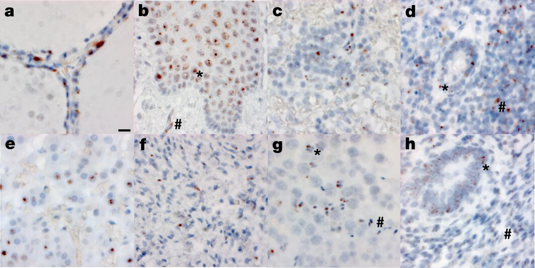
 Rilevamento dell'RNA in situ (RNAscope) di

 SARS-CoV-2 nei tessuti extrapolmonari. a–h, il

 virus SARS-CoV-2 è localizzato nel Golgi e nel

 reticolo endoplasmatico, di aspetto perinucleare

, nei seguenti organi e tipi di cellule (ingrandimenti

 ×500, barre della scala, 2 μm, tutti i pannelli):

 tiroide di P19, che mostra la presenza di virus nelle

 cellule follicolari (a), esofago di P18, a

 dimostrazione della presenza di virus nell'epitelio

 squamoso stratificato (asterisco), nonché segnale

 nei capillari all'interno dello stroma (hash) (b),

 milza di P19, a dimostrazione la presenza di virus

 nei leucociti mononucleati nella polpa bianca (c),

 appendice di P19, che dimostra la presenza del

 virus sia nell'epitelio del colon (asterisco) che nei

 leucociti mononucleati nello stroma (hash) (d),

 ghiandola surrenale di P19, che dimostra la

 presenza di virus nelle cellule secretorie endocrine

 (e), ovaio di P18, che dimostra la presenza del

 virus nelle cellule stromali dell'ovaio in post-

menopausa (f), testicolo di P20, che dimostra la

 presenza del virus sia nelle cellule del Sertoli

 (asterisco) che nelle cellule germinali in

 maturazione nei tubuli seminiferi di il testicolo

 (hash) (g), endometrio di P35, che dimostra la

 presenza del virus nell'epitelio della ghiandola

 endometriale (asterisco) e nelle cellule stromali

 (hash), in un campione endometriale pre-

menopausale (h). Le immagini sono esemplari di

 tessuti extrapolmonari positivi per SARS-CoV-2 N

 RNA durante 20 lotti di colorazione ISH. Credito:

 dimostrando la presenza del virus nell'epitelio della

 ghiandola endometriale (asterisco) e nelle cellule

 stromali (hash), in un campione endometriale pre-

menopausale (h). Le immagini sono esemplari di

 tessuti extrapolmonari positivi per SARS-CoV-2 N

 RNA durante 20 lotti di colorazione ISH. Credito:

 dimostrando la presenza del virus nell'epitelio della

 ghiandola endometriale (asterisco) e nelle cellule

 stromali (hash), in un campione endometriale pre-

menopausale (h). Le immagini sono esemplari di

 tessuti extrapolmonari positivi per SARS-CoV-2 N

 RNA durante 20 lotti di colorazione ISH.   /  RNA

 in situ (RNAscope) detection of SARS-CoV-2 in

 extrapulmonary tissues. a–h, SARS-CoV-2 virus is

 localized to the Golgi and endoplasmic reticulum,

 perinuclear in appearance, in the following organs

 and cell types (×500 magnifications, scale bars, 2

 μm, all panels): thyroid of P19, demonstrating the

 presence of virus in follicular cells (a), esophagus

 of P18, demonstrating the presence of virus in the

 stratified squamous epithelium (asterisk), as well

 as signal in capillaries within the stroma (hash) (b),

 spleen of P19, demonstrating the presence of virus

 in mononuclear leukocytes in the white pulp (c),

 appendix of P19, demonstrating the presence of

 virus in both colonic epithelium (asterisk) and

 mononuclear leukocytes in the stroma (hash) (d),

 adrenal gland of P19, demonstrating the presence

 of virus in endocrine secretory cells (e), ovary of

 P18, demonstrating the presence of virus in

 stromal cells of the ovary in a post-menopausal

 ovary (f), testis of P20, demonstrating the presence

 of virus in both Sertoli cells (asterisk) and

 maturing germ cells in the seminiferous tubules of

 the testis (hash) (g), endometrium of P35,

 demonstrating the presence of virus in endometrial

 gland epithelium (asterisk) and stromal cells

 (hash), in a pre-menopausal endometrial sample

 (h). The images are exemplars of extrapulmonary

 tissues that were positive for SARS-CoV-2 N RNA

 during 20 batches of ISH staining.


Un'analisi dei campioni di tessuto delle autopsie di

 44 persone morte con COVID-19 mostra che il

 virus SAR-CoV-2 si è diffuso in tutto il corpo,

 compreso il cervello, e che è rimasto per quasi otto

 mesi. Lo studio è stato pubblicato su Nature.


Scienziati del National Institutes of Health (NIH) hanno testato campioni di autopsie eseguite da aprile 2020 a marzo 2021. Hanno condotto un ampio campionamento del sistema nervoso, compreso il cervello, in 11 dei pazienti.

RNA e virus vitali in vari organi

Tutti i pazienti sono morti con COVID-19 e nessuno è stato vaccinato. Il  di 38 pazienti è risultato positivo per SARS-CoV-2, tre sono risultati negativi ed il plasma non era disponibile per gli altri 3.

Il 30% dei pazienti era di sesso femminile e l'età media era di 62,5 anni. Ventisette pazienti (61,4%) presentavano tre o più comorbilità. L'intervallo mediano dall'insorgenza dei sintomi alla morte è stato di 18,5 giorni.

L'analisi ha mostrato che SARS-CoV-2, come previsto, principalmente ha infettato e danneggiato le vie aeree ed  . Ma i ricercatori hanno anche trovato l'RNA virale in 84 sedi corporee distinte e fluidi corporei, ed in un caso hanno isolato l'RNA virale 230 giorni dopo l'inizio dei sintomi di un paziente.

I ricercatori hanno rilevato l'RNA e la proteina SARS-CoV-2 nell'ipotalamo e nel cervelletto di un paziente e nel  e nei gangli della base di altri due pazienti. Ma hanno trovato pochi danni al tessuto cerebrale, "nonostante il sostanziale carico virale".

I ricercatori hanno anche isolato il virus SARS-CoV-2 vitale da diversi tessuti all'interno ed all'esterno del  , inclusi cervello, cuore,  , tratto gastrointestinale, ghiandola surrenale e occhio. Hanno isolato il virus da 25 dei 55 campioni testati (45%).

Gli autori hanno scritto: "Abbiamo dimostrato la replicazione del virus in più siti non respiratori durante le prime due settimane dopo l'insorgenza dei sintomi".

Aggiungono: "La nostra attenzione su brevi intervalli post mortem, un approccio standardizzato completo alla raccolta dei tessuti, la dissezione del cervello prima della fissazione, la conservazione del tessuto nell'RNA in seguito ed il congelamento rapido del tessuto fresco ci hanno permesso di rilevare e quantificare i livelli di RNA SARS-CoV-2 con  mediante [  ] e [ibridazione in situ], nonché isolare il virus nella coltura cellulare da più tessuti non respiratori compreso il cervello, che sono differenze notevoli rispetto ad altri studi.

Possibili ramificazioni per COVID lungo

L'autore senior dello studio Daniel Chertow, MD, MPH, ha affermato in un comunicato stampa del NIH che, prima del lavoro, "il pensiero sul campo era che SARS-CoV-2 fosse prevalentemente un virus respiratorio".

Trovare la presenza virale in tutto il corpo e condividere queste scoperte con i colleghi un anno fa ha aiutato gli scienziati ad esplorare una relazione tra tessuti corporei ampiamente infetti e "COVID lungo", o sintomi che persistono per settimane e mesi dopo l'infezione.

Parte di uno studio Paxlovid RECOVER che dovrebbe iniziare nel 2023 include un'estensione del lavoro di autopsia evidenziato nello studio Nature, secondo il coautore Stephen Hewitt, MD, Ph.D., che fa parte di un comitato direttivo per il progetto RECOVER. Le autopsie nello studio RECOVER includono persone che sono state sia vaccinate che infettate con varianti preoccupanti, dati che non erano disponibili nello studio di ieri.

"Speriamo di replicare i dati sulla persistenza virale e studiare la relazione con il COVID lungo", ha affermato Hewitt. "In meno di un anno, abbiamo circa 85 casi e stiamo lavorando per espandere questi sforzi".

ENGLISH

An analysis of tissue samples from the autopsies of 44 people who died with COVID-19 shows that SAR-CoV-2 virus spread throughout the body—including into the brain—and that it lingered for almost eight months. The study was published in Nature.

Scientists from the National Institutes of Health (NIH) tested samples from autopsies that were performed from April 2020 to March 2021. They conducted extensive sampling of the nervous system, including the brain, in 11 of the patients.

RNA and viable virus in various organs

All of the patients died with COVID-19, and none were vaccinated. The  of 38 patients tested positive for SARS-CoV-2, three tested negative, and plasma was unavailable for the other 3.

Thirty percent of the patients were female, and the median age was 62.5 years. Twenty-seven patient (61.4%) had three or more comorbidities. The median interval from symptom onset to death was 18.5 days.

Analysis showed that SARS-CoV-2, as expected, primarily infected and damaged airway and . But the researchers also found viral RNA in 84 distinct body locations and bodily fluids, and in one case they isolated viral RNA 230 days after a patient's symptoms began.

The researchers detected SARS-CoV-2 RNA and protein in the hypothalamus and cerebellum of one patient and in the  and basal ganglia of two other patients. But they found little damage to brain tissue, "despite substantial viral burden."

The investigators also isolated viable SARS-CoV-2 virus from diverse tissues in and outside the , including the brain, heart, , gastrointestinal tract, adrenal gland, and eye. They isolated virus from 25 of 55 specimens tested (45%).

The authors wrote, "We demonstrated virus replication in multiple non-respiratory sites during the first two weeks following symptom onset."

They add, "Our focus on short postmortem intervals, a comprehensive standardized approach to tissue collection, dissecting the brain before fixation, preserving tissue in RNA later, and flash freezing of fresh tissue allowed us to detect and quantify SARS-CoV-2 RNA levels with  by [] and [in situ hybridization], as well as isolate virus in cell culture from multiple non-respiratory tissues including the brain, which are notable differences compared to other studies."

Possible ramifications for long COVID

Senior study author Daniel Chertow, MD, MPH, said in an NIH news release that, prior to the work, "the thinking in the field was that SARS-CoV-2 was predominantly a respiratory virus."

Finding viral presence throughout the body—and sharing those findings with colleagues a year ago—helped scientists explore a relationship between widely infected bodily tissues and "long COVID," or symptoms that persist for weeks and months after infection.

Part of a Paxlovid RECOVER trial that is expected to begin in 2023 includes an extension of the autopsy work highlighted in the Nature study, according to coauthor Stephen Hewitt, MD, Ph.D., who serves on a steering committee for the RECOVER project. Autopsies in the RECOVER trial include people who both were vaccinated and infected with variants of concern—data that weren't available in yesterday's study.

"We're hoping to replicate the data on viral persistence and study the relationship with long COVID," Hewitt said. "Less than a year in, we have about 85 cases, and we are working to expand these efforts."

Da:

https://medicalxpress.com/news/2022-12-autopsies-covid-virus-brain-body.html?utm_source=nwletter&utm_medium=email&utm_campaign=daily-nwletter


Commenti

Post popolari in questo blog

Paracetamolo, ibuprofene o novalgina: quali le differenze? / acetaminophen, ibuprofen, metamizole : what are the differences?

Patologie gastro-intestinali: una panoramica chiara / Gastrointestinal diseases: a clear overview

Tata Steel nomina ABB per la fornitura della tecnologia per la trasformazione dell'acciaio verde a Port Talbot / Tata Steel appoints ABB to deliver technology for Port Talbot green steel transformation